
This patient presented with old crowns on many teeth and a shifting bite due to grinding. This has ultimately resulted in multiple fractured teeth needing extractions and implants. We restored her with a combination of veneers, crowns, and implants to rejuvenate the appearance and overall function of her smile. We love giving a patient back their confidence and comfort with their smile!

This patient presented with overall thin and broken teeth due to years of acid erosion. This left her feeling embarrassed to smile and with extreme temperature sensitivity when eating. We worked as a team with multiple specialists to restore her with Orthodontics, Endodontics, and finally a full set of new crowns and veneers to rebuild her teeth to their original design before the erosion occurred. Her new smile now matches her bright personality!

This patient presented to us after already having a lot of dental work completed in the recent years, but it was not holding up. The Periodontist removed the failing dental work and teeth, and she was restored with upper and lower implants and a much more durable and long lasting All- On-X style prostheses. We were able to achieve her goals of better function and a natural, beautiful smile!

This patient presented after years of wear and grinding, which left his teeth flat and hidden from his smile. He was restored with a full mouth rehabilitation involving a combination of crowns on natural teeth and implants. Now when he smiles, his new crowns give him the presence he desired and protection to his previously worn teeth.

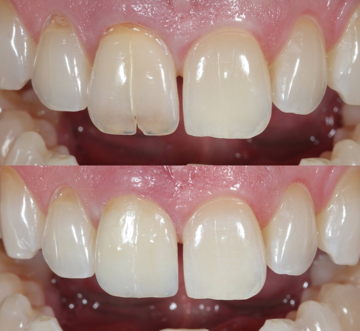
This patient presented with concerns of losing his front tooth due to a large fracture running through the middle of the tooth. We were able to restore the patient with a single crown on the fractured tooth that blended seamlessly with his adjacent tooth. We even added some characteristics to help blend in with his natural anatomy and dentition, camouflaging that he had any treatment completed.

This patient presented having multiple missing and fractured back teeth in combination with severely eroded front teeth, with a desire to restore his oral health and create a smile he was confident in. We restored him with extractions, implants, and a gum lift by the Periodontist prior to placing new crowns and veneers to re-establish his bite. Not only was he happy to have his dental health returned, he felt confident to smile again!

This patient presented with multiple old and failing implants due to poor tissue quality and bone loss. With the help of our Periodontist, the old implants we removed and a new healthy foundation of bone and tissue was established. We then restored her with a new implant bridge that was healthier and more esthetic to give the patient back her ability to chew and function properly.

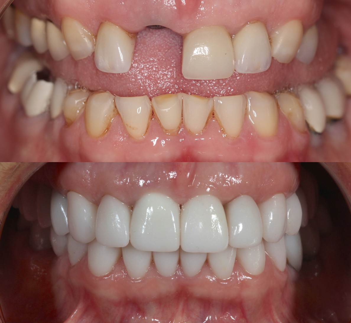
This patient presented with a congenitally missing front tooth from birth and an old bonded bridge that was beginning to discolor and cause the patient cosmetic concerns. The old bonded bridge was removed and the Oral Surgeon placed a single implant, and we restored the patient with a single implant crown that blended seamlessly with the patients natural dentition.

This patient presented with concerns of thin teeth after years of wear and erosion to the backs of her teeth. Due to this issue, her bite was collapsing and she was beginning to experience cracks, chips, and sensitivity in multiple teeth. In order to protect her eroding teeth, we restored her with full coverage crowns with minimal preparation to give the teeth the stability they needed. The patient not only feels more secure when chewing, she also feels more confident to smile!

This patient presented with a full set of crowns that had been completedalmost 30 years prior. The initial crowns had served her well, but had chipped and discolored over time. We restored the patient with a new set of crowns that addressed the patient’s concerns to have a brighter and fresh feeling to her smile, giving her a new found confidence when she smiled.

This patient presented will a failing dentition and multiple missing teeth. He was also experiencing shifting and movement due to the extent of decay and bone loss. The remaining teeth were removed and a healthy foundation of bone and implants was established by the Oral Surgeon. We restored him with upper and lower All-On-X prostheses and gave him back his ability to chew and eat comfortably, along with a confident smile!

This patient presented with an old, chipped bridge on her front teeth and a few broken lower incisors. This patient did not want major dental treatment, but desired a natural refresh to her smile. We replaced her old bridge with a new one and made single veneers for her lower chipping teeth. This minimal design gave the patient the confidence she was looking for and the upgrade in her smile she needed!

This patient presented with major concerns about the wear on her teeth and felt embarrassed smiling due to how small her teeth had become. She received a gum lift procedure with the Periodontist, which allowed us to restore her teeth back to their original height. This procedure re-established a proper bite and gave her back the ability to smile again with confidence.

This patient presented with an upper denture he had worn for years that was starting to crack. He was also tired of taking a denture in and out and not being able to chew the foods he desired. Implants were placed by the Oral Surgeon, and we restored him with an upper All-On-X style prosthesis. Not only was the patient restored with an improved ability to function and eat, his smile was refreshed, giving him a new sense of confidence to smile.

This patient presented with a full mouth of recent veneers and crowns that appeared lifeless and opaque, causing the patient embarrassment and pain on multiple teeth from the recent procedure. We removed the recent restorations, re-established an appropriate length of tooth with temporaries, and restored her with new life-like veneers that the patient would be able to smile with confidence again.

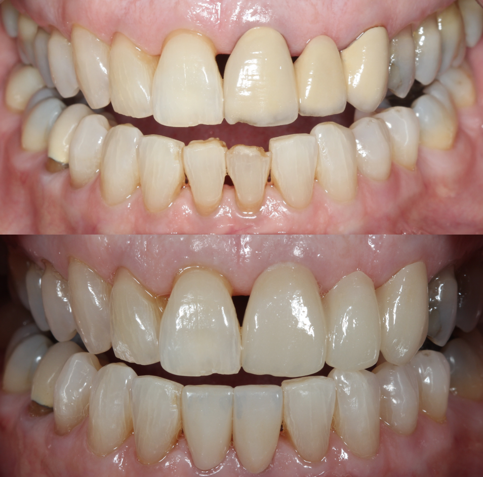
This patient presented with spaces between her front teeth and was overall unhappy with the shape and size of her front teeth. We were able to do non-invasive composite bonding veneers in a single visit to enhance the overall presence of her teeth, giving her a more confident and complete look to her smile!

This patient presented with periodontal gum disease and loose teeth, which caused him a lot pain as well as made him feel self-conscious about his smile. We worked with the Periodontist to remove the failing teeth and restore healthy gums and bone around the remaining teeth. With implants to support, we created an All-On-X style prosthesis to give the patient back his ability to function without pain and blend with his natural teeth. He now has the biggest smile!

This patient presented with an older non-esthetic implant crown and an abscessed natural front tooth. The Oral Surgeon was able to remove and bone graft the failing natural tooth, place a new implant, and provide the proper tissue foundation for her new crowns. We then restored her smile with two new more esthetic and fresh implant crowns to give her back her confidence when smiling.

This patient presented with a healthy dentition, but was never happy with the small gap between her front two teeth. She had previous Orthodontics to close the gap, but it always remained. With non-invasive composite bonding, we were able to close the gap in one appointment without anesthetic to achieve the patients cosmetic goals!
.webp)