.png)
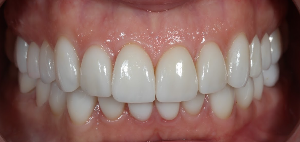
Veneers are one of the most popular cosmetic treatments in dentistry. They are thin shells of porcelain or ceramic that reshape and restore the teeth. Each veneer is designed to fit over one tooth, covering up the front surface completely. By using multiple veneers, you can cover all of your front teeth and completely transform your smile.
Veneers are made of a durable material such as porcelain or ceramic. The material is chosen based on your individual needs. They look and feel just like real teeth, and they require minimal preparation and removal of tooth structure. For all of these reasons and more, they're one of the best options for correcting cosmetic issues with your teeth.

Veneers are used for a lot of purposes. They can cover up severely stained teeth, making them a great option for teeth that can’t be treated with teeth whitening. They also can reshape your teeth, and eliminate issues like uneven and misshapen teeth, as well as large gaps between your teeth.
In some cases, veneers can even be used to treat minor tooth damage, such as a small chip. However, dental crowns are usually more suitable for severe damage or unhealthy teeth. Veneers are not meant to be a restorative treatment, and can only be applied to strong, healthy teeth.
At your first appointment, we’ll take photos, discuss your natural tooth structure, goals, and dental hygiene to decide on a treatment plan that works best for you and your needs. We’ll then take a digital scan of your teeth so we can fabricate a wax up to build your new veneers from. Think of a wax up like a blueprint for a new house.
Next, you will be scheduled with our office for your initial preparation appointment, where we make any necessary preparations to the teeth which usually requires removing a minimal amount of tooth structure. We will take a series of scans and photos to send to our laboratory. Finally, we fabricate custom temporaries based on your wax up. These temporary veneers will be worn while the final ones are being made. Your temporaries will be cosmetically pleasing as well as stable and functional until your new final veneers arrive.
4 weeks later, you’ll have your final appointment at our office, where you’ll try on your new veneers and have them fitted to your mouth to ensure nothing is uncomfortable. They will then be bonded in place with a thin layer of adhesive cement. We’ll examine your function and assess the aesthetics, ensuring you are completely happy with your new veneers.
You can return to normal activities the same day. You can eat or drink immediately after your appointment, but you may experience some mild discomfort and sensitivity. You may also need to allow your numbing to wear off in the case that the doctor needed to apply anesthetic. The numbing will wear off in a few hours, and any sensitivity will go away in a few days.
To ensure the health of your teeth, you will want to practice good oral hygiene by brushing with a soft-bristle toothbrush and non-abrasive toothpaste at least twice a day and flossing daily. When you get veneers, you want to make sure your toothpaste is smooth, without any grit to it. For example, whitening toothpastes can have an abrasive grit built in to remove stains, but this can dull the shine on your new veneers. We recommend toothpaste such as Sensodyne, Risewell, or FYGG.
You will also need to come in for regular dental cleanings and checkups at minimum every 6 months to ensure your veneers stay clean and your gums around them healthy.
Beyond this, you should avoid using your veneers to chew really hard food like nuts or ice. You should never use your veneered teeth to do things like tear tape or rip open packages. You also should avoid chewing non-food objects like fingernails, pencils, and pens. All of these can cause your veneers to debond and require recement or replacement. Following these tips will help prevent premature loosening or breakage of your veneers.
.png)
Our skilled staff at Advanced Dentistry of Mount Pleasant is standing by to answer any questions you may have about the veneer process. Visit our office or contact us today to learn more about our veneer procedures or to discuss whether this cosmetic solution is the right treatment for you. We want to make sure you are informed and confident about any treatment you receive at our practice.
All-on-X dental implants are permanent screwed in prosthetics that are brushed and cleaned like natural teeth, do not have to be taken out, do not need adhesives, are comfortable because they do not press down on your gums, allow you to experience the hot and cold of your food, as well as the taste, allow you to bite with increased force (up to 70% more), so you can eat all of your favorite foods again, prevent bone deterioration and restore your facial features.
Absolutely. This technique gives you permanent teeth that look, feel and function just like real prosthetics. No one will know you have implants unless you tell them. Many of our photos on the website are of natural looking smiles restored with the All-on-X procedure. Visit our before and after page to read stories from real patients who have received dental implant treatment.
Published studies show a 98% success rate using All-on-X dental implants. It is very important to keep up with regular hygiene visits to keep the area around the implants clean and disease free. Also, smoking is a major factor in the failure of all dental implants.
As with any surgery, you need time to heal. A temporary set of teeth will be placed on your implants at the time of surgery. Adjustments by Dr Vinson will be made during the healing process, which can take 3-6 months. Once the healing process is complete, your permanent prosthetic will be placed after a series of visits with Dr Vinson to finalize your smile.
This procedure can be placed on just the upper or lower arch. Dr Vinson will evaluate your specific circumstance and determine if you would benefit from both upper and lower arch surgery, or if you are a candidate for a single arch replacement. This service will be tailored to your individual needs.
Dental implants should be treated like your natural teeth with daily brushing and water-flossing. Our dental hygienists will review oral hygiene instructions with you and will recommend the most appropriate oral hygiene schedule that fits your needs. Implants can’t get cavities, but they can get bone disease, which is why a regular hygiene schedule should be maintained.
.png)
.webp)