
1-2 hour appointment depending on how many teeth are involved
Anesthesia is not always necessary, but can be administered if the patient prefers. Slight beveling will be performed to help transition the color from composite to the tooth to reduce a sharp line between composite and natural tooth. Most of the time a combination of different composites will be used to create a harmony of shades, translucency and natural appearance.
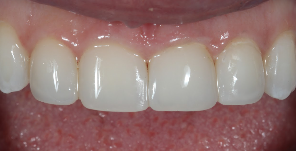
After the composite is applied, contoured and adjusted to your bite, a series of polishers will be used to create a lifelike luster. In many cases of broken front teeth, care must be taken with eating to ensure that the composite filling doesn’t break.
If cosmetic bonding is performed because of lost tooth structure after grinding, a nightguard will be recommended to be worn nightly.
Composite bondings can last for years as long as care is taken and upkeep is performed. You may need your bonding replaced or touched up throughout the years. Your dental care as well as your bite will determine its longevity.
If you’re considering cosmetic bonding Dr. Vinson offers masterful care and beautiful results. Choosing a prosthodontist for your cosmetic treatment has a number of benefits:
Cosmetic bonding is more than just aesthetic. Eliminating stains and imperfections in your smile will help encourage you to take better care of your mouth. Patients who have undergone cosmetic dental treatment are more likely to brush and floss properly because they take pride in their smiles. Oral bacteria and food particles collect between your teeth and gums, so eliminating gaps and other imperfections can eliminate “pockets” of plaque and tartar.

If you’re interested in improving the appearance of your smile, we’d love meet you and discuss your options. Dr. Vinson will always take the time to answer any questions and discover what you need to improve your smile. Visit our office or call us today to explore your options.
All-on-X dental implants are permanent screwed in prosthetics that are brushed and cleaned like natural teeth, do not have to be taken out, do not need adhesives, are comfortable because they do not press down on your gums, allow you to experience the hot and cold of your food, as well as the taste, allow you to bite with increased force (up to 70% more), so you can eat all of your favorite foods again, prevent bone deterioration and restore your facial features.
Absolutely. This technique gives you permanent teeth that look, feel and function just like real prosthetics. No one will know you have implants unless you tell them. Many of our photos on the website are of natural looking smiles restored with the All-on-X procedure. Visit our before and after page to read stories from real patients who have received dental implant treatment.
Published studies show a 98% success rate using All-on-X dental implants. It is very important to keep up with regular hygiene visits to keep the area around the implants clean and disease free. Also, smoking is a major factor in the failure of all dental implants.
As with any surgery, you need time to heal. A temporary set of teeth will be placed on your implants at the time of surgery. Adjustments by Dr Vinson will be made during the healing process, which can take 3-6 months. Once the healing process is complete, your permanent prosthetic will be placed after a series of visits with Dr Vinson to finalize your smile.
This procedure can be placed on just the upper or lower arch. Dr Vinson will evaluate your specific circumstance and determine if you would benefit from both upper and lower arch surgery, or if you are a candidate for a single arch replacement. This service will be tailored to your individual needs.
Dental implants should be treated like your natural teeth with daily brushing and water-flossing. Our dental hygienists will review oral hygiene instructions with you and will recommend the most appropriate oral hygiene schedule that fits your needs. Implants can’t get cavities, but they can get bone disease, which is why a regular hygiene schedule should be maintained.
.png)
.webp)